Article
A safe home includes childproofing your television
From coins and marbles to button batteries and magnets, learn signs your child swallowed something and when to seek medical attention

Children – particularly babies, toddlers and preschoolers – are curious by nature. They want to touch, smell and – yes, taste – everything they can get their hands on. That curiosity can lead to dangerous situations when they accidentally swallow something not meant to be eaten.
Most objects swallowed by a child can pass through the gastrointestinal tract without any issue. However, some items such as button batteries, magnets or sharp objects can cause serious internal damage.
Bradley Barth, M.D., Gastroenterologist at Children's Health℠ and Professor at UT Southwestern shares advice on what parents need to know – and do – if they think their child has swallowed a foreign object.
It can be a scary moment when you glance at your little one across the room and realize they've put something small in their mouth. Other times, it's not clear if your child has swallowed something. You may notice a small item missing, or your child may also start experiencing telltale signs.
The most common way parents can tell if their child has swallowed something is by acute symptoms, such as sudden drooling, vomiting, coughing or chest pain.
Take your child to an emergency room for an exam if:
You see your child swallow a button battery, magnet or sharp object
You think your child swallowed a foreign object and your child complains of acute, serious symptoms such as:
Stomach ache or abdominal pain
Chest pain
A feeling like something is stuck in the throat
Difficulty breathing
Difficulty swallowing
Drooling
Vomiting
Coughing
Gagging
If you suspect your child swallowed a non-toxic foreign object, such as a small bead or coin, but your child does not immediately show acute symptoms, keep an eye on them for at least 24 hours. Sometimes objects can get stuck in the gastrointestinal tract without causing symptoms. If any of the following signs occur, call your doctor right away:
Vomiting or drooling
Gagging
Not eating
Coughing
Chest pain

Some foreign objects can pass through the digestive system without any issue. Other times, an object may get stuck in the esophagus. In these cases, a doctor will need to remove the object through an endoscopic procedure. Ingestion of certain objects requires emergent endoscopy.
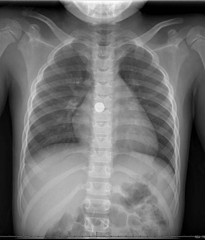
Button batteries or magnets – particularly when there is more than one magnet – calls for endoscopy as soon as possible. Those objects can cause serious damage to a child's esophagus and gastrointestinal tract.
A study released in 2022 by the American Academy of Pediatrics revealed that button battery-related emergency room visits increased significantly from 2010-2017. Early treatment is necessary to avoid severe complications.
"A swallowed button battery, if stuck in the esophagus, is a true emergency and can cause life-threatening complications,” Dr. Barth says. “It is impossible to tell if the battery has passed into the stomach without an x-ray, so even if the child looks fine after swallowing it, the family must seek medical care immediately."
If the swallowed object is not a button battery or multiple magnets, and your child does not display any symptoms, your doctor may prescribe a "wait and see" approach and monitor the object's progress using X-rays or other imaging tests. Foreign objects usually take about one to two weeks to pass through the system. If the object is not out by four weeks, your child's doctor may refer you to a pediatric gastroenterologist for further evaluation. Depending on the item's location, endoscopic removal may be recommended.
In most cases, items swallowed by children can be removed with an endoscopic procedure. A thin, flexible tube with a tiny camera and light attached at the end is carefully inserted in the child's mouth and into the gastrointestinal tract during this minimally-invasive procedure.
The camera and light allow the surgeon to visualize the gastrointestinal tract as it advances through the esophagus and to the foreign object. Tiny instruments can be inserted into the tube to gently remove the object. The gastroenterologist also examines the gastrointestinal tract for any damage.
Parents should look around the home at their child's eye level to find ways to childproof the home. You'll notice things you hadn't seen before – items that need to be moved out of reach of children or out of the room completely.
Take special care to keep loose change out of reach. Pennies, nickels, dimes and quarters make up the most common objects children swallow and need to be removed with surgery.
Certain times of the year can carry added risk. More kids are in the emergency room around the holidays. Many small toys, decorations and even greeting cards contain button batteries or small objects.
It's also important to remember that emergencies can happen in the blink of an eye. Never leave your little one unattended – even if you're just running into the next room or heading to the bathroom.
One final piece of advice is to keep up the conversation with children all through their teenage years, too, about the dangers of swallowing anything that's not food.
Teenagers need to be reminded about the hazards of swallowing toxic substances. There's no time like today to talk with them about the dangers of blindly following the latest harmful internet challenge or ingesting dangerous items on purpose. Every day, casual conversations help foster an open relationship with your child and lets them know you're there for them – even when they act like they don't want to hear it.
The Pediatric Gastroenterology program at Children's Health offers minimally invasive diagnostic techniques and the latest treatments to deliver peace of mind to parents and children. Learn more about the gastroenterology program and services.
SUBSCRIBE
Get personalized advice from Children’s Health experts sent straight to your inbox twice a month.